Mang thai 11 tuần nhưng vẫn chịu đựng tình trạng sưng đau vú kéo dài suốt nửa năm, chị N. (36 tuổi, ngụ tại TP.HCM) đã trải qua chuỗi ngày mệt mỏi, lo lắng, thậm chí từng được nghi ngờ mắc ung thư. Tuy nhiên, tại Bệnh viện Hoàn Mỹ Sài Gòn, các bác sĩ đã phát hiện căn nguyên thật sự – viêm lao tuyến vú, một thể lao ngoài phổi ít gặp – và kịp thời điều trị thành công.
6 tháng điều trị không khỏi và một thai kỳ đầy lo âu
Chị N. (sinh năm 1988, ngụ tại TP.HCM), hiện đang mang thai lần hai ở tuần thứ 11. Cách đây 4 năm, chị từng sinh khó và được bác sĩ cảnh báo khả năng mang thai lại là rất thấp. Vào khoảng tháng 11/2024, chị bắt đầu thấy vú trái sưng đau, nóng đỏ, nổi hạch nách và sốt nhẹ về chiều.
Trước khi thăm khám tại Bệnh viện Hoàn Mỹ Sài Gòn, chị N. đã đi khám tại nhiều cơ sở y tế, được chẩn đoán viêm tuyến vú, điều trị bằng kháng sinh và chọc hút mủ nhiều lần (FNA), kết quả sinh thiết cho thấy viêm áp xe vú thông thường. Tuy nhiên, sau nhiều đợt điều trị, tình trạng bệnh không được cải thiện, có thời điểm chị bị nghi ngờ mắc ung thư vú, ảnh hưởng lớn đến sức khỏe tinh thần và thể chất.

Bác sĩ Trần Đình Thanh giải thích bệnh lý cho người bệnh
Lần này, khi được xác định mang thai 11 tuần, chị quyết định đến thăm khám tại Bệnh viện Hoàn Mỹ Sài Gòn. Tại đây, các bác sĩ đã thực hiện siêu âm định vị tổn thương kết hợp sinh thiết mô vú và phát hiện căn nguyên thật sự: viêm lao tuyến vú – một thể lao ngoài phổi hiếm gặp, đặc biệt khó chẩn đoán trong thai kỳ.
Chẩn đoán đúng là chìa khóa để điều trị hiệu quả
Theo BS.CKII Trần Đình Thanh – Trưởng khoa Ung bướu, Bệnh viện Hoàn Mỹ Sài Gòn, người đầu tiên tại Việt Nam mô tả chuỗi ca bệnh lao vú qua nghiên cứu hơn 20 trường hợp từ năm 2004: “Với những trường hợp viêm vú không đáp ứng điều trị thông thường, nhất là trong thai kỳ, chúng ta phải nghĩ đến các nguyên nhân hiếm như lao tuyến vú. Việc sinh thiết đúng vị trí là chìa khóa chẩn đoán chính xác, loại trừ ung thư và rút ngắn thời gian điều trị.”
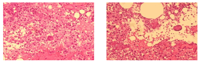
Kết quả giải phẫu bệnh cho thấy tổn thương mô hoại tử dạng bã đậu, tế bào Langhans – đặc trưng của bệnh lao. Xét nghiệm GeneXpert khẳng định sự hiện diện của vi khuẩn lao (Mycobacterium tuberculosis).
Phác đồ điều trị phù hợp cho thai kỳ
Ngay sau chẩn đoán, chị N. được điều trị bằng phác đồ 4 thuốc chống lao theo chương trình quốc gia, với liều lượng điều chỉnh phù hợp phụ nữ mang thai. Song song, thai nhi được theo dõi sát mỗi 2 tuần.
Sau 6 tuần điều trị, tình trạng sức khỏe của chị N. cải thiện rõ rệt: vú không còn sưng, không tiết dịch, hết sốt, ăn ngủ tốt, tâm lý ổn định, thai nhi phát triển khỏe mạnh.
Chị tiếp tục điều trị đủ 6 tháng theo phác đồ chuẩn và sẽ được theo dõi sau sinh nhằm phát hiện sớm bất kỳ biến chứng nào liên quan đến tuyến sữa hoặc tổn thương cũ.

Hình ảnh cung cấp là ảnh nhuộm mô học trường hợp viêm lao vú
Lao tuyến vú – bệnh lý hiếm dễ bị bỏ sót
Viêm lao tuyến vú là một thể lao ngoài phổi hiếm gặp, chỉ chiếm 0,1–0,5% tổng số ca lao, thường gặp ở phụ nữ trong độ tuổi sinh sản, đặc biệt khi mang thai hoặc đang cho con bú. Vi khuẩn lao có thể lan đến tuyến vú qua đường máu, bạch huyết hoặc từ các ổ lao kế cận như da, xương, thành ngực.
Tuy nhiên, do triệu chứng dễ nhầm với viêm tuyến vú hoặc áp xe (sưng, đỏ, đau, nổi hạch), nên nhiều trường hợp bị điều trị sai, kéo dài và ảnh hưởng lớn đến sức khỏe tinh thần lẫn khả năng nuôi con.
BS. Hà Đề Điền – thành viên ê-kíp điều trị nhấn mạnh: “Đừng chủ quan với các triệu chứng kéo dài ở tuyến vú, dù đang mang thai. Nếu sau vài đợt kháng sinh không hiệu quả, hãy tìm đến cơ sở y tế chuyên khoa để được sinh thiết, chẩn đoán và điều trị đúng cách.”
Đây là một trong số rất ít ca lao tuyến vú được chẩn đoán chính xác trong thai kỳ tại Việt Nam, góp phần bổ sung thêm dữ liệu thực tiễn về chẩn đoán phân biệt trong ung bướu và sản khoa. Việc phát hiện kịp thời giúp bảo vệ trọn vẹn sức khỏe người mẹ, không ảnh hưởng đến sự phát triển của thai nhi và tránh được các can thiệp không cần thiết.
Khoa Ung bướu của Bệnh viện Hoàn Mỹ Sài Gòn là một trong những đơn vị chuyên sâu trong hệ thống y tế tư nhân tại TP.HCM, chuyên cung cấp dịch vụ chẩn đoán và điều trị toàn diện cho các bệnh lý ung thư. Đội ngũ bác sĩ tại đây có trình độ chuyên môn cao, luôn cập nhật những tiến bộ y học mới nhất để mang đến hiệu quả điều trị tối ưu cho người bệnh.
Bệnh viện trang bị hệ thống thiết bị hiện đại như máy MRI 3.0 tích hợp trí tuệ nhân tạo, giúp phát hiện sớm các tổn thương nhỏ và tối ưu hóa quy trình điều trị. Ngoài ra, Bệnh viện Hoàn Mỹ Sài Gòn đã ký kết hợp tác với Bệnh viện Ung bướu TP.HCM nhằm nâng cao chất lượng dịch vụ y tế, đặc biệt trong lĩnh vực Ung bướu. Sự hợp tác này giúp người bệnh tiếp cận với các phương pháp chẩn đoán và điều trị tiên tiến, đồng thời mở ra nhiều chương trình hỗ trợ nâng cao chất lượng chăm sóc cho người bệnh
Thùy Trang